Select your language
お電話でのご予約・ご相談
土日祝も受付
0120-911-935
(09:30~20:00)
夜間
0120-773-566
(20:00-23:00) ※新規予約のみ
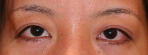
Before
After
<眼瞼下垂(埋没法)>
【施術内容】極細のナイロン糸にて、結膜側でミューラー筋や挙筋腱膜をタッキング(縫い縮める)
【リスクや副作用】【埋没法】術後の腫れ、結膜浮腫、異物感、ドライアイ、視力の変化、眼瞼痙攣
【費用】200,000円(220,000円)※()内は税込みの金額です
※料金、リスク・副作用、施術内容は登録時点での情報となります。最新の情報はクリニックへお問い合わせください。

眼瞼下垂(がんけんかすい)とは、まぶたを持ち上げる筋肉(眼瞼挙筋)の力が弱まり、十分に目が開かなくなる状態のことです。皮膚が目尻にかぶさり、目つきが悪く、眠そうでぼんやりとした印象に見られがちです。
眼瞼下垂には、先天性のものと、外傷性、老人性、神経筋疾患によるものや、コンタクトレンズを長期に装用したことによるものなど後天性のものがあります。最近では、20~30代の若い方にも多い症状です。



加齢によりまぶたの皮膚がたるんで、目に被ってしまう
手で瞼(まぶた)のたるみをつまみあげてみると、目自体は開いている状態です。しかし、加齢で垂れ下がったまぶたが目の開きにかぶさり、目が小さく見えてしまっています。
このような場合には、「眉下リフト(眉下切開)」が適応です。
Before
After
<眉下切開法(眉下リフト)>
【施術内容】デザインに沿って皮膚切除。場合によって眼輪筋切除や、皮下剥離などの処理を行なう。非吸収糸で形態を調節しながら皮下、皮膚を縫合する。
【リスクや副作用】術後の浮腫、痛み、内出血、血腫、シスト形成、肥厚性瘢痕、眉毛変形、引き攣れ、閉瞼障害、二重の消失、変形。
【費用】300,000円(330,000円)※()内は税込みの金額です
※料金、リスク・副作用、施術内容は登録時点での情報となります。最新の情報はクリニックへお問い合わせください。
まぶたを持ち上げる筋肉の力が弱まり、十分に目が開かなくなる
まぶたが垂れ下がっているわけではなく、目の開き自体が悪くなっています。こちらの方は「切開法(腱膜縫縮法)」で改善することができます。
軽度であれば、切らない「眼瞼下垂治療(埋没法)」で改善することもできます。
Before
After
<眼瞼下垂(切開法/腱膜縫縮法)>
【施術内容】上まぶたの皮膚を切開し、緩んだ挙筋腱膜を縫い縮める。適宜、皮膚、眼輪筋、眼窩脂肪、瞼板前組織を処理。
【リスクや副作用】術後の腫れ、痛み、内出血、目の開きや二重幅の左右差、傷痕、二重の消失、シスト形成、ドライアイ、視力の変化、眼瞼痙攣。
【費用】480,000円 (528,000円)※()内は税込みの金額です
※料金、リスク・副作用、施術内容は登録時点での情報となります。最新の情報はクリニックへお問い合わせください。

このように同じように見える症状も、原因によって治療法が異なります。
そのため、医師の診察を受けることが、目元のお悩みを解消する近道です。
眼瞼下垂の症状が軽~中程度であれば、皮膚を切開することなく、より負担の軽い埋没法で改善することができます。
そのため、症状が進んでしまう前に、早めの処置をおすすめしております。
※眼瞼下垂の症状が進んでしまった場合には、「切開法(腱膜縫縮法)」がより効果的です

眼瞼下垂は、自覚症状のないまま進行してしまう方も多く、症状がさらに進むと頭痛や肩こり、眼精疲労にもつながります。また、無意識に額や眉を上げて目を開こうとするので、シワの原因にもなります。
それだけではありません。
まぶたの皮膚が重なり合い、「三重」「四重」になってしまいます。
ここまで進行してしまうと、より手術の技術力が必要になり、リスクを伴います。そのため、早めに治療することをおすすめしています。
Before
After
<眼瞼下垂(埋没法)>
【施術内容】極細のナイロン糸にて、結膜側でミューラー筋や挙筋腱膜をタッキング(縫い縮める)
【リスクや副作用】術後の腫れ、結膜浮腫、異物感、ドライアイ、視力の変化、眼瞼痙攣
【費用】200,000円(220,000円)※()内は税込みの金額です
※料金、リスク・副作用、施術内容は登録時点での情報となります。最新の情報はクリニックへお問い合わせください。

当院では、糸を結ぶ前に仮留めし、患者様と医師で目の開き具合や左右差、二重ラインなどの仕上がりイメージを確認しています。そのため、術後の仕上がりとイメージが違うということが極めて起こりにくいです。




眼瞼下垂の保険治療が始まったことで、より治療は身近なものとなりました。
しかし、保険診療と、美容クリニックでは、治療法の選択肢の幅や仕上がりに違いがあります。違いをしっかりと理解した上で、治療を受けることをおすすめいたします。

保険診療で行える治療方法は「切開法」のみのため、軽度の眼瞼下垂でも保険診療で行う場合は、切開しなければなりません。
また、医師が「病気の症状がある」と診断した場合にのみ、保険適応となるため、「病気の症状がある」と診断されず、保険適応外(自由診療)と なるケースも多くあります。
保険診療と記載していても、ご自身が必ずしも保険適応となるとは限りませんので、ご注意ください。
保険診療では、「目が開きやすくなるように改善」します。しかし、自由診療の当院では、「目が開きやすくなるように改善」することはもちろんのこと、左右差や顔と目のバランスなど美容的観点からも診察・施術を行い、「ご希望の目もとを実現」します。
これは、二重術など他の目元の施術の経験が多いからこそできることなのです。もちろん、目元の他の施術との組み合わせも可能です。
当院では、一度他院で受けられた患者様が修正を希望され、来院されるケースが増えてきました。 その一例をご紹介します。
他院(保険診療)で眼瞼下垂手術を受けられた患者様です。
一見、問題なく見えますが、中央部が開き過ぎており、白目の上が見える「上三白眼」を認めます。当院に修正をご希望で来院され、切開法にて修正を行いました。二重のラインがきれいに揃い、三白眼も改善しています。
このように当院では、術後の仕上がりにもこだわり、治療を行っています。
Before
After
<眼瞼下垂(切開法/腱膜縫縮法)>
【施術内容】上まぶたの皮膚を切開し、緩んだ挙筋腱膜を縫い縮める。適宜、皮膚、眼輪筋、眼窩脂肪、瞼板前組織を処理。
【リスクや副作用】術後の腫れ、痛み、内出血、目の開きや二重幅の左右差、傷痕、二重の消失、シスト形成、ドライアイ、視力の変化、眼瞼痙攣。
【費用】480,000円(528,000円)※()内は税込みの金額です
※料金、リスク・副作用、施術内容は登録時点での情報となります。最新の情報はクリニックへお問い合わせください。

医師とのカウンセリングでは、仕上がりのご希望を詳しくお伺いしながら、術後のイメージを確認します。 施術についてご不明な点・ご不安なことがありましたら、どんなことでもご相談ください。

瞳孔の上方位置の皮膚に、まぶたを持上げたい位置を見ながらマーキングします。

まぶたの裏側から局所麻酔を行います。 痛みや起きた状態での手術が心配な方には静脈麻酔を行い眠ったまま手術を受けていただくことも可能です(別途費用)。当院では、少しでも患者様のご負担を減らすため、極細針で麻酔を行っています。

極細の特殊なナイロン糸で縫い縮めていきます。瞼板側に結膜、ミュラー筋をたぐり寄せることによって下垂症状を解消します。糸はまぶたを上げる度合いに応じて1箇所~3箇所に通し留めていきます。
医師と患者様で目の開き具合を確認し、バランスが良ければ糸を埋没し、終了です。
デザインから終了まで20~30分程度です。

当院では、手術前のカウンセリングや手術の技術、アフターケアには万全の体制をとっています。
しかしながら万が一の場合に備えて、患者様によりご満足、ご安心いただけるよう、施術別の保証制度を設けています。

当院では、個室造りの待合となっています。周囲の方へ気兼ねすることなくリラックスしてお待ちいただけます。
また、受付やご案内の際にも他の患者様と顔を合わせることなくご案内できるようにしており、女性はもちろん男性も安心してご来院いただけます。
Before
After
眼瞼下垂(埋没法)
聖心美容クリニック医師
| 通院 | なし |
|---|---|
| 日常生活 |
洗顔・洗髪・メイク:当日はお控えください。翌日から可能です。 コンタクトレンズ:使い捨てコンタクトレンズであれば、翌日から可能です。使い捨て以外のコンタクトレンズの場合は、3日目から使用できます。 飲酒:2~3日程度お控えください。 |
| 腫れ | 3日~1週間程で落ち着きます。 自然なラインとなるまでに1ヶ月程かかります。 |
| 術後の経過 | 手術後は、麻酔などの影響により、多少の瞼(まぶた)の腫れや違和感が見られますが、時間の経過とともに改善されます。内出血が出る場合がありますが、時間の経過とともに消失します。 |
| 施術内容 | 極細のナイロン糸にて、結膜側でミューラー筋や挙筋腱膜をタッキング(縫い縮める)。 |
| リスク・副作用情報 |
稀に傷口の炎症・感染が起こる場合があります。 瞼(まぶた)や眼球の赤みや痛みが持続する場合は、早めに当院医師の診察をお受けください。 目の周りへのマッサージは、1ヶ月後より可能となります。運動は可能ですが、徐々に身体を慣らすようにしてください。 |


聖心美容クリニックには、日本美容外科学会(JSAS)理事長・専門医・会員、日本美容外科学会(JSAPS)正会員、日本形成外科学会 領域指導医・再建マイクロサージャリー分野指導医・小児形成外科分野指導医・専門医・会員、医学博士、日本再生医療学会 再生医療認定医・会員、日本美容外科医師会 会員、日本臨床医学発毛協会認定 発毛診療指導認定医、日本臨床抗老化医学会 会員、日本皮膚科学会 専門医、日本美容皮膚科学会 会員、日本外科学会 専門医、日本形成外科手術手技学会 正会員、日本頭蓋顎顔面外科学会 会員、日本小児外科学会 会員、日本メソセラピー研究会 会員、国際形成外科学会(IPRAS)会員、IMCAS World Scientific Committee 2017,board memberなどの資格を有した医師が在籍しております。
また、当院では、第104回日本美容外科学会(JSAS)にて会長を努めた鎌倉達郎を中心に医療技術向上のため、院内外、国内国外を問わず様々な勉強会や技術研修会を実施しております。勉強会・研修会の実績についてはこちらご覧ください。
VIEW MORE聖心美容クリニック統括院長 鎌倉達郎は、日本美容外科学会(JSAS)理事長という責任ある立場より、美容外科をはじめとする美容医療の健全な発展と、多くの方が安心して受けられる美容医療を目指し、業界全体の信頼性を高めるよう努めてまいります。
2018年6月に改正・施行された「医療広告ガイドライン」遵守し、当ページは医師免許を持った聖心美容クリニックの医師監修のもと情報を掲載しています。医療広告ガイドラインの運用や方針について、詳しくはこちらをご覧ください。
お電話でのご予約、
ご相談はこちらから
土日祝も受付
※当ウェブサイトに掲載されている情報(製品画像、製品名称等を含む)は、予告なく変更される場合がございますので、予めご了承ください。詳しい情報については、直接クリニックまでお問合せ下さい。
※当ウェブサイトに記載されている医療情報はクリニックの基本方針となります。 患者様の状態を診察させていただいた上で、医師の判断により記載の内容とは異なる術式や薬剤、器具等をご提案する場合もございますので、予めご了承ください。