Select your language
※料金、リスク・副作用、施術内容は登録時点での情報となります。最新の情報はクリニックへお問い合わせください。
※ ( )内は税込みの金額です
| 施術メニュー | 料金・費用 |
|---|---|
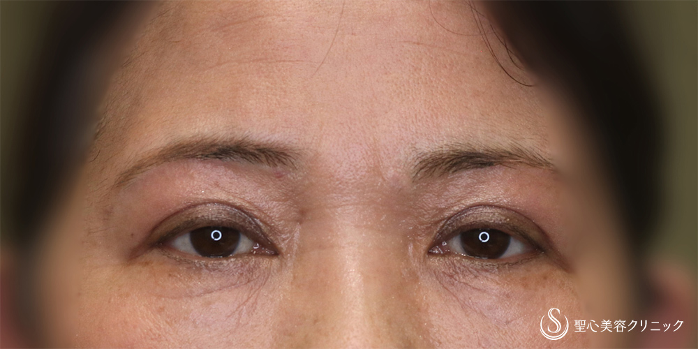
| 眉下切開法(眉下リフト) | 350,000円 |
| 合計 | 350,000円 |


聖心美容クリニックには、日本美容外科学会(JSAS)理事長・日本美容外科学会(JSAS)認定 美容外科専門医・会員、日本美容外科学会(JSAPS)正会員、日本形成外科学会 領域指導医・再建マイクロサージャリー分野指導医・日本形成外科学会認定 小児形成外科分野指導医・専門医・会員、医学博士、日本再生医療学会 再生医療認定医・会員、日本美容外科医師会 会員、日本臨床医学発毛協会認定 発毛診療指導認定医、日本臨床抗老化医学会 会員、日本皮膚科学会認定 皮膚科専門医、日本美容皮膚科学会 会員、日本外科学会認定 外科専門医、日本形成外科手術手技学会 正会員、日本頭蓋顎顔面外科学会 会員、日本小児外科学会 会員、日本メソセラピー研究会 会員、国際形成外科学会(IPRAS)会員、IMCAS World Scientific Committee 2017,board memberなどの資格を有した医師が在籍しております。
また、当院では、第104回日本美容外科学会(JSAS)にて会長を努めた鎌倉達郎を中心に医療技術向上のため、院内外、国内国外を問わず様々な勉強会や技術研修会を実施しております。勉強会・研修会の実績についてはこちらご覧ください。
VIEW MORE聖心美容クリニック統括院長 鎌倉達郎は、日本美容外科学会(JSAS)理事長という責任ある立場より、美容外科をはじめとする美容医療の健全な発展と、多くの方が安心して受けられる美容医療を目指し、業界全体の信頼性を高めるよう努めてまいります。
2018年6月に改正・施行された「医療広告ガイドライン」遵守し、当ページは医師免許を持った聖心美容クリニックの医師監修のもと情報を掲載しています。医療広告ガイドラインの運用や方針について、詳しくはこちらをご覧ください。
お電話でのご予約、
ご相談はこちらから
土日祝も受付
肌の悩み
※当ウェブサイトに掲載されている情報(製品画像、製品名称等を含む)は、予告なく変更される場合がございますので、予めご了承ください。詳しい情報については、直接クリニックまでお問合せ下さい。
※当ウェブサイトに記載されている医療情報はクリニックの基本方針となります。 患者様の状態を診察させていただいた上で、医師の判断により記載の内容とは異なる術式や薬剤、器具等をご提案する場合もございますので、予めご了承ください。